とし歯科クリニックがこどもの矯正治療が得意なワケ
当院の矯正治療のコンセプト
「シンプルで負担が少ない方法で、生え変わりとともに綺麗なかみ合わせにする」
当院のコンセプトで、「F.G.O.P. SYSTEM®」にのっとって治療を進めます。
F.G.O.P. SYSTEM®とは…
F.G.O.P. SYSTEM®は顎・顔面の成長を生かした治療方法です。非抜歯であるほか、ブラケット装着をできるだけ短くして、咬合誘導装置での咬合誘導を中心に治療をすすめる保険適応外のシステムです。
生え変わりとともに咬み合わせをきれいにしていく治療を行うには、永久歯列(12才)になるまで待つのではなく、成長期の学童(7~12才)、症状が強い場合は幼児期(3~7才)から機能や成長をコントロールし、生え変わりの時期に「咬合誘導」で歯並びや口元がよくなっていくような環境に整え、すべて永久歯へ生え変った時点で咬み合わせや口元が整うように進めます。
成長期治療(3~12才)では、元来、お子様が備えている成長力を十分に引き出すことからスタートします。この成長力を引き出すために行うことが、機能(咬合機能、舌機能、口唇機能、呼吸機能など)の回復・改善治療です。機能を回復させるための機能習得と機能を作用させるための形態改善を行います。人の顔や口は成長に伴った正しい機能が働いていれば、永久歯の生えるスペースが生じ、顔立ちがよくなるような作用が備わっています。機能回復後に、出っ歯などが残っている場合は、成長をコントロールして改善を行います。ここまで進めておけば、咬合治療は歯を抜かない非抜歯治療が行いやすくなります
咬合治療で抜歯、非抜歯を判断する基準は、
- 非抜歯で歯をならべられるか
- 非抜歯で咬み合わせが良くなるか
- 非抜歯で口元の突出感はどの程度なのか
以上で診断します。
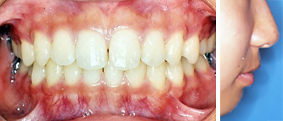
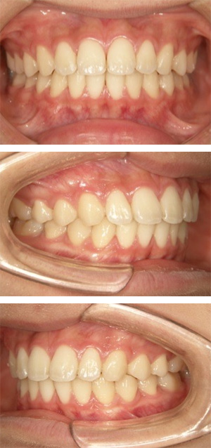
初診時
成長期治療終了時
| 年齢性別 | 10歳9か月 女の子 |
|---|---|
| はじめのご相談 | 前歯が気になる、出っ歯だと思うとのことでご相談いただきました。 |
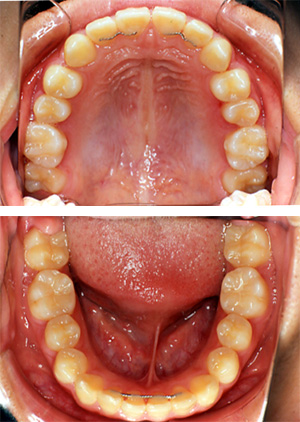
| カウンセリング・診断結果 | 骨格的に下顎後退型上顎前突、上下V-shaped archで下顎前歯部に叢生が見られ、過蓋咬合になっている状態でした。上顎前歯は軽度唇側傾斜、機能的には低位舌・アデノイド肥大による上気道狭窄、口唇閉鎖不全が見られました。 治療は二期分割治療を予定し、成長期治療(第一期治療)で歯列拡大・前歯排列(並べ替え)・functional app.・機能的問題はMFTでコントロールし、出っ歯の改善を提案しました。咬合治療(第二期治療)は可及的に非抜歯治療を予定しています。 |
| 行ったご提案・診断内容 | 成長期治療:QH・BHにより歯列の拡大、ブラケットにより前歯排列、functional app.による出っ歯改善、MFTによる機能のコントロールを行いました。咬合治療は出っ歯改善が安定したのち非抜歯法で治療しました。 治療はマルチブラケット法で行い、下顎歯列コントロールにBHを使用し、MFTを継続しました。動的治療後は保定装置で咬合の安定化を行いました。 |
| 治療期間 | 成長期(第一期)治療:動的処置 1年4ヵ月・functional app.1年4ヵ月 咬合(第二期)治療:2年1か月 |
| おおよその費用 | 95万円+TAX |
| 術後の経過や現在の様子 | 咬合は安定しています。保定装置およびMFTを継続し経過観察を行っています。 |
| 治療のリスク | 矯正治療に伴うリスクとして、歯ブラシ不足による虫歯・歯周病、装置による違和感・痛み、口内炎、話しにくい・食べにくい、歯肉退縮、歯髄壊死、歯根吸収、顎関節症の悪化などがあります。 |
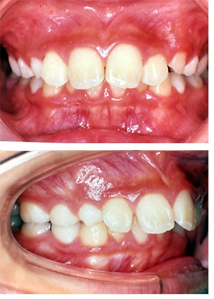
例えば上の症例のような出っ歯では、初診時、左写真のように強い出っ歯で、口元の突出感があり口唇を閉じると顎にしわができる状態でしたが、成長期治療で機能の回復・改善と成長のコントロール(上顎前方成長抑制と下顎前方成長の促進)を行い上記右写真のように出っ歯が改善し、口元の突出感や閉じない状態もなくなり、自然観のある口元へ改善しました。成長期治療でここまで改善させておけば、咬合治療は非抜歯法で行うことが可能になります。 非抜歯治療で進めることが可能になれば就寝時のみ使用する「咬合誘導」へ移行し、生え変わりとともに咬み合わせが良くなるようにします。
もしこの症例で成長期治療を行わなかったとすると、でこぼこが残り、咬みあわせや口元は変わらないまま成長し、永久歯に生え変わった後の咬合治療では抜歯治療になっていた症例です。
現在お子様の矯正治療をお考えの方は「F.G.O.P. SYSTEM®」で非抜歯咬合治療を目指しましょう。 また、成長期のお子様で「永久歯に生えかわってから抜歯して治療しましょう」と言われていても、当院では成長期から「F.G.O.P. SYSTEM®」を進めることで、永久歯列の咬合治療が非抜歯治療で可能になるケースがありますのでご相談ください。11~12才でもまだ成長が見込まれるお子様(乳歯がまだある、まだ背が低いなど)では成長期治療が可能です。
当院には矯正相談がございますのでご活用ください。
成長期治療後の継続咬合治療「咬合誘導」を希望されない場合は、永久歯列になってからマルチブラケット法、インビザラインで咬合治療を行います。
機能については、永久歯列だけで行う咬合治療(11才~、成人矯正)でも、治療中に併行して機能回復・改善を行うと、治療中・後の咬合が安定するので、治療と併行して行います。
矯正治療で機能をコントロールすることは大変重要な要素となっています。
お子様の負担が少ない方法で歯並びを綺麗にする
「F.G.O.P. SYSTEM®」と「咬合誘導」について
「F.G.O.P. SYSTEM®」とは
「F.G.O.P. SYSTEM®」は、「Function:機能」「Growth:成長」「Occlusion:咬合」「Profile:口元」の略で、成長期(3~12才)から「F.G.O.P. SYSTEM®」による矯正治療を行うことで、非抜歯矯正治療(歯を抜かずに歯並びを矯正する治療)を可能にするシステムです。
機能(F)、成長(G)、咬合(O)、口元(P)の関係は連鎖しています。
機能を回復すると、適切な顎の成長が誘導される
(具体例)適切な顎の成長で出っ歯が改善した症例
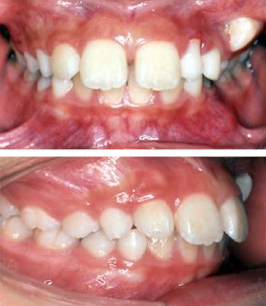
9y2m
10y6m
12y9m
| 年齢性別 | 9歳2か月 男の子 |
|---|---|
| はじめのご相談 | 歯が横から生えてきたとのことでご相談いただきました。 |
| カウンセリング・診断結果 | 骨格的に上顎前突、歯列はV-shaped arch、左上4転移歯、正中離開、機能的には低位舌、口呼吸、口唇閉鎖不前の状態でした。 提案1:横から出てきた左上4をMTMで並べ直し 提案2:出っ歯があるため出っ歯の改善まで行う 上記提案2のうち2を希望されたため、成長期治療(第一期治療)として歯列の拡大、前歯および左上4の並べ替え、functional app.で上顎前突の改善を行います。 |
| 行ったご提案・診断内容 | QH・BHにより拡大+上下前歯および左上4並べ替え(動的治療)、ファンクショナルアプライアンス+ヘッドギア、舌機能コントロールで上顎前突の改善を行いました。永久歯生え変わり後、咬合治療を予定しています。 |
| 治療期間 | 動的治療:1年2か月 ファンクショナルアプライアンス:1年1か月 |
| おおよその費用 | 45万円+TAX |
| 術後の経過や現在の様子 | MFTを継続していましたが、側方オープンバイト傾向のため、咬合治療を考慮しています。 |
| 治療のリスク | 凸凹(でこぼこ)や口元の突出が残る場合は、抜歯治療へ移行します。その他、矯正治療に伴うリスクとして、歯ブラシ不足による虫歯・歯周病、装置による違和感・痛み、口内炎、話しにくい・食べにくい、歯肉退縮、歯髄壊死、歯根吸収、顎関節症の悪化などがあります。 |
適切な機能と顎の成長は、適切な咬合とバランスの良い横顔を誘導する
(具体例)歯科矯正治療による適切な機能と顎の成長で起こる経時的な口元の変化
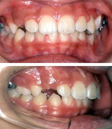
8y9m
13y1m
16y3m
| 年齢性別 | 8歳9か月 男の子 |
|---|---|
| はじめのご相談 | 上の前歯に歯が生える隙間がないとのことでご相談いただきました。 |
| カウンセリング・診断結果 | 骨格的には下顎後退型上顎前突、歯列はV-shaped archで上唇小帯の肥厚による正中離開があり、上顎側切歯の萌出スペースがない状態でした。下顎では側切歯部に叢生があり、口元は上下唇とも突出していて口唇閉鎖不全が見られました。機能的に低位舌が見られました。 治療は成長期治療(第一期治療)で拡大を行い、永久歯の萌出スペースを作り、functional app.で上顎前突を改善する方針です。機能的な問題はMFTでコントロールし、咬合治療(第二期治療)前に再診断を行い抜歯、非抜歯を検討する予定です。 |
| 行ったご提案・診断内容 | 成長期治療でQH・BHで拡大し、併行してMFTを行いました。拡大後前歯の並べ替えを行い、functional app.で上顎前突を改善。咬合治療前に再診断を行い咬み合わせ、叢生の量、口元の状態から非抜歯治療としました。左上6の近心移動があったためプレート遠心移動を行い、HA、マルチブラケット、顎間ゴムで治療を行いました。治療後は保定装置で咬合の安定化を行いました。 |
| 治療期間 | 成長期治療:1年10か月 functional app.:2年 咬合治療:2年 |
| おおよその費用 | 95万円+TAX |
| 術後の経過や現在の様子 | 保定装置の使用、MFT良好で咬合は安定しています。継続して経過観察中です。 |
| 治療のリスク | 矯正治療に伴うリスクとして、歯ブラシ不足による虫歯・歯周病、装置による違和感・痛み、口内炎、話しにくい・食べにくい、歯肉退縮、歯髄壊死、歯根吸収、顎関節症の悪化などがあります。 |
「F.G.O.P. SYSTEM®」治療の流れ
「F.G.O.P. SYSTEM®」は、この連鎖反応に基づいて、下記のように進めます。
成長期では、機能回復を行い作用させる(F)、適切に成長が促進するようにする(G)
(具体例)顎が適切に成長するようにアーチの形態を整え(拡大と前歯の並び替え)、舌や口唇 などの機能を回復させながら矯正装置を応用すると以下症例のように成長が促進され、出っ歯が 改善します。
「Function:機能」:拡大、機能回復(舌位、鼻呼吸、姿勢など)で成長促進

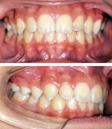
10y8m

13y10m
成長期治療終了時
「Growth:成長」:成長による出っ歯の改善

10y8m

13y10m
成長期治療終了時
咬合治療で、永久歯列を綺麗な歯並びにする(O)、綺麗な口元にする(P)
(具体例)成長期治療後の咬合治療で咬み合わせ、口元を改善した症例
「Occlusion:咬合」:咬み合わせを改善します

13y10m

16y4m
咬合治療終了時
「Profile:口元」:口元を改善します

13y10m

16y4m
咬合治療終了時
| 年齢性別 | 10歳9か月 女の子 |
|---|---|
| はじめのご相談 | 前歯が気になる、出っ歯だと思うとのことでご相談いただきました。 |
| カウンセリング・診断結果 | 骨格的に下顎後退型上顎前突、上下V-shaped archで下顎前歯部に叢生が見られ、過蓋咬合になっている状態でした。上顎前歯は軽度唇側傾斜、機能的には低位舌・アデノイド肥大による上気道狭窄、口唇閉鎖不全が見られました。 治療は二期分割治療を予定し、成長期治療(第一期治療)で歯列拡大・前歯排列(並べ替え)・functional app.・機能的問題はMFTでコントロールし、出っ歯の改善を提案しました。咬合治療(第二期治療)は可及的に非抜歯治療を予定しています。 |
| 行ったご提案・診断内容 | 成長期治療:QH・BHにより歯列の拡大、ブラケットにより前歯排列、functional app.による出っ歯改善、MFTによる機能のコントロールを行いました。咬合治療は出っ歯改善が安定したのち非抜歯法で治療しました。 治療はマルチブラケット法で行い、下顎歯列コントロールにBHを使用し、MFTを継続しました。動的治療後は保定装置で咬合の安定化を行いました。 |
| 治療期間 | 成長期(第一期)治療:動的処置 1年4ヵ月・functional app.1年4ヵ月 咬合(第二期)治療:2年1か月 |
| おおよその費用 | 95万円+TAX |
| 術後の経過や現在の様子 | 咬合は安定しています。保定装置およびMFTを継続し経過観察を行っています。 |
| 治療のリスク | 矯正治療に伴うリスクとして、歯ブラシ不足による虫歯・歯周病、装置による違和感・痛み、口内炎、話しにくい・食べにくい、歯肉退縮、歯髄壊死、歯根吸収、顎関節症の悪化などがあります。 |
*成長期治療後に抜歯が必要な症例の詳細については、出っ歯の CL.Ⅱ-1 成長期矯正治療後、口元の突出感が気になるため抜歯咬合治療へをご参照ください
「咬合誘導」とは
「咬合誘導」は、永久歯を並べる咬合治療のひとつです。 成長期(3~12才)で適切な成長を促す治療後に移行する継続的咬合治療(混合歯列期からの咬合誘導)です。生え変わり中の上下永久歯を適切な位置へ誘導して咬ませる方法です。シンプルで負担が少なく、就寝時に使用するため、人に気づかれずきれいな咬みあわせになります。着脱可能なので衛生的にもやさしい装置です。 永久歯が生え変わった時点でほぼ並んだ状態になります。通常のマルチブラケットシステムやインビザラインなどは、永久歯に生えかわってからスタートするため、「咬合誘導」は生え変わりの時間を有効に活用することができます。 咬合誘導装置は種類があるので、咬み合わせに一番合った装置を選択します。
咬合誘導の症例
叢生が強い症例
- 初診時(治療前)

- 拡大(拡大装置は以下写真参照、詳細は「QH、BH」と「床矯正」の違いについて)をご参照ください

- 前歯の並べ替え
出っ歯や受け口の改善、出っ歯やうけ口がなければ Step4へ

- 咬合誘導装置(就寝時使用)

- 生え変わり終了時

- 必要によりマルチブラケット法へ
| 年齢性別 | 9歳1か月 女の子 |
|---|---|
| はじめのご相談 | 歯が重なって生えてきているとのことでご相談いただきました。 |
| カウンセリング・診断結果 | 骨格的な問題はないが、上下V-shaped archで永久歯の生えるスペースがなく八重歯となっている状態でした。機能的な問題として口唇閉鎖不全と低位舌が見られました。口元は特に問題はありませんでした。 治療は、歯列の拡大をおこない永久歯の萌出スペースを作り、可及的に非抜歯治療を提案しました。 |
| 行ったご提案・診断内容 | 成長期にアーチ形態の修正・拡大(QH・BH)で永久歯の萌出スペースをつくり、上下前歯の調整(ブラケット)を行いました。舌などの機能改善はMFTで行いました。 咬合治療は咬合誘導装置を先行させ、必要によりマルチブラケット法へ移行予定です。 |
| 治療期間 | 2年9か月 |
| おおよその費用 | 90万円+TAX |
| 術後の経過や現在の様子 | 横顔も問題なく咬合とともに経過良好です。保定装置およびMFTで経過観察しています。 |
| 治療のリスク | 凸凹(でこぼこ)や口元の突出が残る場合は、抜歯治療へ移行します。 その他、矯正治療に伴うリスクとして、歯ブラシ不足による虫歯・歯周病、装置による違和感・痛み、口内炎、話しにくい・食べにくい、歯肉退縮、歯髄壊死、歯根吸収、顎関節症の悪化などがあります。 |





