小学生限定~モノブロックシステム~
モノブロックシステムとは?

当院の最大の特徴は、「モノブロックシステム」です。モノブロックシステムは咬合誘導を取り入れた矯正治療の方法で、成長期矯正治療修了後(子供の矯正治療終了後)の歯の生え変わりの時期にモノブロック装置を就寝時に使用し、歯を適切な位置へ誘導し、生えかわり終了時点できれいな歯並びになる方法です。混合歯列期の小学生限定の治療方法で、成長期矯正治療で永久歯の生えるスペースや顎が十分成長するように環境を整えた上でモノブロック装置を使用します。
一般的に行われている矯正治療と咬合誘導の違いは?
| 一般的な成長期からの矯正治療 | 当院の矯正治療(モノブロックシステム) |
|---|---|
| 1.成長期の治療で不正咬合の改善 | |
| 2.リテーナーで生え変わり待ち | 2.モノブロック装置による咬合誘導 |
| 3.生え変わってから咬合治療 (マルチブラケット法・インビザラインなど) |
3.生え変わり時に終了あるいは必要な修正 (マルチブラケット法・インビザラインなど) |
| 4.咬合治療終了 | |
※モノブロックシステムは、生え変わりの時期を利用して歯を並べるので、時間的なロスがありません。
モノブロックシステムの症例
叢生が強い症例

Step1: 拡大
Step2: 前歯の並べ替え

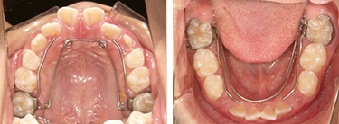
Step3: モノブロック装置(就寝時)
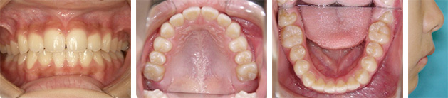
Step4: 生え変わり終了時
Step5:必要によりマルチブラケット法へ
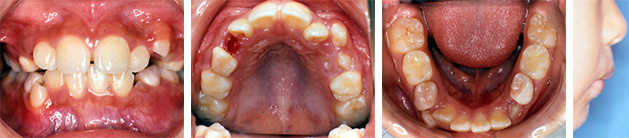
| 年齢性別 | 9歳1か月 女の子 |
|---|---|
| はじめのご相談 | 歯が重なって生えてきているとのことでご相談いただきました。 |
| カウンセリング・診断結果 | 骨格的な問題はないが、上下V-shaped archで永久歯の生えるスペースがなく八重歯となっている状態でした。機能的な問題として口唇閉鎖不全と低位舌が見られました。口元は特に問題はありませんでした。 治療は、歯列の拡大をおこない永久歯の萌出スペースを作り、可及的に非抜歯治療を提案しました。 |
| 行ったご提案・診断内容 | 成長期にアーチ形態の修正・拡大(QH・BH)で永久歯の萌出スペースをつくり、上下前歯の調整(ブラケット)を行いました。舌などの機能改善はMFTで行いました。 咬合治療はモノブロック装置を先行させ、必要によりマルチブラケット法へ移行予定です。 |
| 治療期間 | 2年9か月 |
| おおよその費用 | 90万円+TAX |
| 術後の経過や現在の様子 | 横顔も問題なく咬合とともに経過良好です。保定装置およびMFTで経過観察しています。 |
| 治療のリスク | 凸凹(でこぼこ)や口元の突出が残る場合は、抜歯治療へ移行します。 その他、矯正治療に伴うリスクとして、歯ブラシ不足による虫歯・歯周病、装置による違和感・痛み、口内炎、話しにくい・食べにくい、歯肉退縮、歯髄壊死、歯根吸収、顎関節症の悪化などがあります。 |
①一般的に行われる矯正治療の流れ(例)および費用

②当院の矯正治療の流れ(例)および費用
例1)モノブロックシステムにより大人の矯正治療をする必要がなくなる

例2)モノブロックシステム後に、もし、大人の矯正治療が必要になった場合も、期間が短いので負担が少ない

モノブロックシステムの特徴とメリットは?
モノブロックシステムの特徴とメリットは以下の通りです。
- モノブロックシステムは、歯を抜かずに歯並びを綺麗にすることを目的とした治療方法です。
- モノブロックシステムは、就寝時のみ装置を使うためお子様の負担が軽減します。
- モノブロックシステムは、生え変わり終了時に咬み合わせに問題がなければ)大人の矯正治療(マルチブラケット法やインビザラインなど)が必要なくなります。
- モノブロックシステムは、生え変わりを待つ必要がなく生え変わりが終了した時点で治療が終わるため、一般的な治療より治療期間が短くなります。
- モノブロックシステムは、最終的に大人の矯正治療が必要ないとみなされた場合は、一般的な矯正治療より費用負担が軽減します。
- モノブロックシステムは、通院が2ヶ月~4か月に1度程度になるためお子様、親御様の負担が軽減します。
ただし、モノブロックシステムは、小学生限定で歯が生え変わっている時期のみに可能な治療で、生えかわってからではできない治療です。
